Przejdź do treści

Uniwersytet Śląski w Katowicach

Centrum Mikroskopowego Badania Materii SPIN-Lab

Centrum SPIN-Lab

Wyjątkowa infrastruktura badawcza

Konsolidacja potencjału i kompetencji badawczo-rozwojowych w obszarze badań mikroskopowych

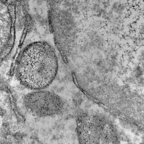
Funkcjonujemy jako międzywydziałowa jednostka organizacyjna Uniwersytetu Śląskiego. Specjalizujemy się w korelacyjnym badaniu materii w szczególności „miękkiej” metodami mikroskopowymi.

Dysponujemy laboratoriami dostosowanymi do wymagań najnowszych mikroskopów elektronowych i sił atomowych. Oferujemy nowe pomieszczenia do prowadzenia dydaktyki, prac naukowych i badawczo-rozwojowych oraz realizacji usług i projektów.

Możliwości badawcze

OBSZARY DZIAŁALNOŚCI

Prowadzimy prace w kilkudziesięciu obszarach badawczych

INFRASTRUKTURA BADAWCZA

Aparatura, która umożliwia korelacyjne charakteryzowanie materii w skali molekularnej

Informacje o projekcie

return to top